Радиологическое отделение

Заведующий отделением
Ястремский Денис Олегович
тел. +375 (17) 390-84-28
Старшая медицинская сестра - Поплавская В.А.
Радиологическое отделение является структурным подразделением отдела лучевой терапии и радиационной безопасности.
Что такое лучевая терапия?
Это безболезненная процедура с применением медицинского ионизирующего излучения на современном радиотерапевтическом оборудовании. Это сложный многоуровневый процесс, в котором участвует команда специалистов, использующая самые передовые технологии лучевой терапии.
С учетом специфики Центра, фокусом нашей профессиональной деятельностью являются гемобластозы и злокачественная патология гепатобилиарной зоны.
Мы специализируемся на лечении взрослых пациентов и детей с такими заболеваниями, как:
- лейкозы
- лимфомы
- солитарная плазмоцитома и множественная миелома
- апластические анемии
- миелодиспластический синдром
- злокачественные опухоли печени
- метастатическое поражение печени
Используя самые передовые технологии лучевой терапии, особое внимание уделяем пациентам, которые готовятся к жизненно важной процедуре – трансплантации гемопоэтических стволовых клеток. Наша главная задача – провести тотальное облучение тела, как этап режима кондиционирования, максимально точно и безопасно.
Тотальное облучение тела – это классический метод, направленный на уничтожение клонов злокачественных клеток, устойчивых к химиотерапии, а также включающий области тела человека, куда не проникают лекарственные химиотерапевтические агенты (напр. ЦНС). Кроме того, тотальное облучение является мощным фактором иммуносупрессии, направленным на приживление донорских стволовых клеток.
Благодаря сочетанию нашего профессионального опыта с современным оборудованием и программным обеспечением, мы смогли внедрить в клиническую практику инновационные методики тотального облучения, позволяющие защищать здоровые органы и ткани от лучевых повреждений, включая:
- интенсивно-модулированную тотальную лучевую терапию
- таргетное тотальное облучение костного мозга и лимфатической системы, а также их модификации.
Опухоли гепатобилиарной зоны являются одними из самых распространенных новых видов в онкологической практике. Только мультидисциплинарный подход дает высокие результаты. Стереотаксическая лучевая терапия является составной частью комплексного лечения. Эта точно сфокусированная техника позволяет лечить поражения печени с аблятивной целью, при этом значительно ограничивая дозу для здоровой ткани печени и окружающих органов. Специализированная дозиметрия, контроль качества доставки дозы с использованием низкодозового КТ, синхронизация дыхания в ходе процедуры, значительно снижают погрешности лечения, улучшая местный контроль и минимизируя токсичность.
Основные патологии:
- гепатоцеллюлярная карцинома
- холангиоцеллюлярная карцинома
- метастатическое поражение печени
- карцинома поджелудочной железы
Мы работаем в команде с трансплантологами, хирургами и гематологами. Решение о стратегии лечения принимается многопрофильной командой. Для каждого пациента разрабатывается персональный протокол лечения. Каждый этап – от планирования до последнего сеанса – контролируется по строгим международным стандартам.
Примеры нашей работы


|
Плазмоцитома грудной стенки. Распределение дозы и результат лучевой терапии. |

|
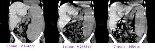
Пример адаптивной лучевой терапии при сленомегалии, обусловленной миелофиброзом. Регресс объема селезенки – 50% к седьмому сеансу. |

| Пример стереотаксической лучевой терапии метастатических поражений в левом легком. Лечение проводилось с синхронизацией дыхательного цикла под визуальным контролем низкодозового КТ. |

|
Пример распределения дозы при проведении кранио-спинального облучения у пациента с нейролейкемей. |

|
Пример дозового распределения при проведении таргетного тотального облучения костного мозга и лимфатической системы. |




















